Después de analizar imágenes que estudian la malaria en pacientes infectados, se ha encontrado evidencia que sugiere la acumulación de la malaria en el brazo de las personas durante la primera semana de infección.
La malaria es una enfermedad que en 2019 causó aproximadamente 229 millones de casos y 409,000 muertes, la mayoría en niños de África Subsahariana.
Actualmente es una de las enfermedades más mortíferas propagada por los mosquitos y estos a su vez son más resistentes a los pesticidas y parásitos que causan esta enfermedad. Aparte de estos problemas la malaria se está volviendo más resistente a los medicamentos antipalúdicos.

La malaria ha recibido tanta atención que se ha llegado a mapear los detalles genéticos por los que pasa el parásito mientras se prepara para infectar a las personas.
Científicos australianos han descubierto que los parásitos de malaria, en específico la variedad «Plasmodium vivax» acechan directamente el brazo de personas con infecciones crónicas en cantidades muy altas.
Gracias a esta investigación se puede explicar por que se pasan sin ser notados los casos de malaria con los análisis de sangre. El estudio respalda que el parásito resguarda una parte de sí mismo, esto ayuda a replantear cómo atacar la enfermedad en el cuerpo humano.
El investigador de enfermedades infecciosas de Australia, John Woodford dijo:
«Al realizar este novedoso estudio de imágenes en participantes que se someten a una infección experimental de malaria, hemos podido observar lo que está sucediendo dentro de órganos específicos durante las primeras etapas de la infección en la etapa sanguínea»

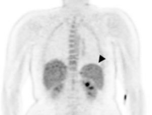
En la imagen por PET se observa el aumento de la captación de la glucosa en el brazo después de la infección por malaria.
Para llevar a cabo este estudio se infecto de malaria experimentalmente a siete voluntarios que nunca habían sido infectados de la enfermedad. Los voluntarios se encontraban bajo condiciones experimentales controladas.
El estudio demuestra que las imágenes pueden detectar infecciones tempranas de malaria, una de las desventajas es que son mucho mas caras que un análisis de sangre, volviéndose inaccesible para los lugares donde la malaria es endémica.